《云胶片不再作为医疗器械管理解读》一文引起不少关注,对于云胶片是否为“云电子胶片和报告系统软件”,是否为“数字影像服务”有不少争议;甚至有传统胶片的代言人,将“云电子胶片和报告系统软件”扩展到所有影像,趁机再延缓一下胶片消亡的进程。争论名字其实并没有太多意义,不如就拿影像和影像来作对照,看看影像功能的区别就好(胶片不具备后处理功能,二次诊断很捉急,代言人看看就好)。
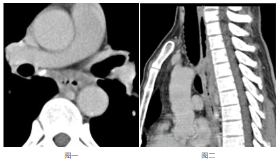
几乎所有PACS软件都具备缩放、平移、调窗、测量、电影功能,这部分功能适用于平片、DSA等;也具备分窗、MPR、MIP、VR功能,适用于CT、MR。因此PACS工作站适用于绝大部分影像的后处理,是阅片写报告的基本要求。那么,这些功能在移动端,采用B/S方式使用时,是不是仍然具备?是不是还适用于绝大部分类型的影像?如果是,那么可以认为具备阅片写报告的功能要求;如果不是,显然,对于部分类型的影像,阅片写报告则相对困难,甚至可能无法判断。看下这两张图:

这是同一病灶的不同视角,图一是横断位,图二是矢状位。很明显,图二对于食管的侵蚀显示得更为直观。这应该就是《浙江省数字影像服务专家共识》明确要求“保存检查时生成的各种成像体位的完整序列影像”的原因。那么,如果PACS在存储影像时仅仅存储了横断位,就一定需要影像软件本身能将矢状位影像重建出来。
再看下面三张图:

三张图的层厚分别为0.5mm、2mm、5mm,随着层厚的增加,病灶因重叠而被忽略的可能性同步增加。因此,对于发现细小病灶如肺小结节,层厚调节显然是必备的工具。
再看这张图:

相信对于具备PET/CT的医疗机构来说,这样的影像软件功能同样是必需的。
因此,影像软件的功能决定了影像云的适用范围,基础软件用于DR影像的阅片没有任何压力,但对于高端医疗设备,如果软件功能不足,部分设备以及部位的影像可能得不到针对性的后处理,诊断的价值随之受损。